Notice: Undefined variable: 6223.9613252074 in /var/www/www-root/data/www/374.ru/tpl_text/text_picture.php on line 81
![]() |
| Учёные вплотную подошли к созданию серийного имплантата, который сможет выборочно работать с нужными клетками, плывущими в потоке внутри кровеносных сосудов (иллюстрация CellTraffix). |
Это удивительное устройство может быть выполнено в виде некоего микроскопического объекта, введённого в сосуд, либо как шунт, через который направляется поток крови. Оно должно помочь медикам в лечении целого ряда заболеваний, или в их диагностике. При этом "клеточный селекционер" должен выпускаться серийно.
![]() |
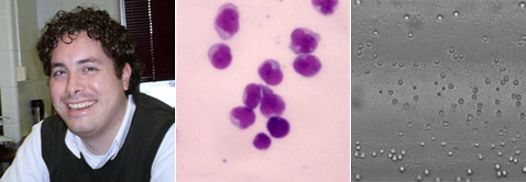
| Майкл Кинг. Справа: набор снимков, показывающих некоторые из его прошлых опытов по сбору определённых клеток при помощи устройства с покрытием из селектина (фотографии с сайта rochester.edu). |
Кажется, что для выявления в потоке клеток нужного типа микромашине потребуется нечто вроде искусственного интеллекта. Но нет, механизм селекции клеток тут основан исключительно на биохимии. Авторы этой системы решили имитировать в искусственном аппарате природный процесс, идущий в наших собственных сосудах и капиллярах. Его называют "перекатка клеток" (cell rolling), а заключается он в том, что вблизи стенок сосуда определённые клетки резко замедляются и начинают прокатываться вдоль стенки, а порой — останавливаются.
Notice: Undefined variable: 6169.9418128599 in /var/www/www-root/data/www/374.ru/tpl_text/text_picture.php on line 81
![]() |
| Джеффри Карп (фото с сайта mit.edu). |
А дальше? К примеру, определённый селектин начинают выделять сосуды, находящиеся в ткани, заражённой инфекцией. Оказавшиеся рядом лейкоциты связываются с этими веществами, останавливаясь у стенки сосуда. А тут уже белая клетка крови покидает русло, попадая в смежную с сосудом ткань, что и требуется для защиты органа от инфекции.
![]() |
| Микросферы, снабжённые "лучами" — специфическими молекулами, прокатываются по поверхности устройства, состоящего из подложки (внизу) и закреплённого на ней белка-селектина (красные дуги) (иллюстрация Seungpyo Hong, MIT). |
Увы, такое белковое покрытие оставалась стабильным лишь несколько часов, а затем разрушалось. В имплантате же захват клеток должен работать недели и даже месяцы, иначе пациентам придётся постоянно наведываться в госпиталь для замены устройства.
Notice: Undefined variable: 6165.7077472567 in /var/www/www-root/data/www/374.ru/tpl_text/text_picture.php on line 81
![]() |
| Сынпхё Хон (фото с сайта mit.edu). |
Для испытания нового покрытия группа Карпа создала стеклянные микросферы, снабжённые "по кругу" молекулами, связывающимися с P-селектином. Эти микросферы играли роль целевых клеток крови. Поток с такими шариками пускали вдоль поверхности стекла, обработанного селектином и полиэтиленгликолем. Шарики резко тормозились и начинали катиться, опираясь на селектин. Причём этот эффект оставался стабильным в течение четырёх недель непрерывного теста.
![]() |
| Принцип уничтожения раковых клеток (показаны зелёным) новым устройством: селектин (Y), замедляет клетки в кровотоке. Раковые клетки при этом попадают к стенке устройства, где вступают в контакт со специфической молекулой (синий треугольник), включающей в клетке апоптоз, в результате чего та погибает за 2-4 дня. Стрелками показан кровоток и перекатка клеток (иллюстрация с сайта rochester.edu). |
Следующий шаг исследователей — добавление к связке PEG-селектин терапевтических агентов, взаимодействующих с отобранными клетками.
Таким специфическим агентом, при необходимости, может быть соединение, являющееся для клетки сигналом, который активирует апоптоз – самоубийство клетки. И если устройство захвата будет ловить раковые клетки, распространяющиеся по кровотоку — такой имплантат сможет очищать от них кровь, замедляя или останавливая развитие страшной болезни.
Другой вариант исполнения позволит проводить клеточную терапию: устройство выявит в кровотоке стволовые клетки и подаст им сигнал на дифференциацию в определённый тип. Или просто накопит их для извлечения, очищения и внедрения в другом месте, тому же пациенту.
Теперь эту концепцию предстоит проверить в опытах на животных. И первые такие эксперименты, с имплантацией прототипа устройства живым крысам, уже выполнены.
Как сообщает CellTraffix, возможность захвата стволовых клеток взрослой особи прямо из её кровотока доказана. А значит, сделан ещё один шаг на пути к появлению новой технологии на рынке и к созданию целого ряда родственных устройств, которые найдут себе работу в медицине и биологических исследованиях.
Хотите прокомментировать?
Кроме того...
Изобретение зонта
Изобретение зонта датируется XI веком до нашей эры. В Китае и Египте зонт являлся...
Человечеству не хватает ресурсов
Эскперты ООН пришли к...
Шасси для синтетической жизни
«Геномный колдун» Крейг Вентер хочет запатентовать живой...






















































